Ja, Lillasysters arm blev verkligen som ny efter tre veckor i gips. Vi började morgonen hos läkaren för att se om det där tre veckor gamla gipset skull komma bort eller om hon behövde ha det några veckor till. Lillasyster var väldigt förväntansfull och hoppades innerligt att det skulle komma bort.
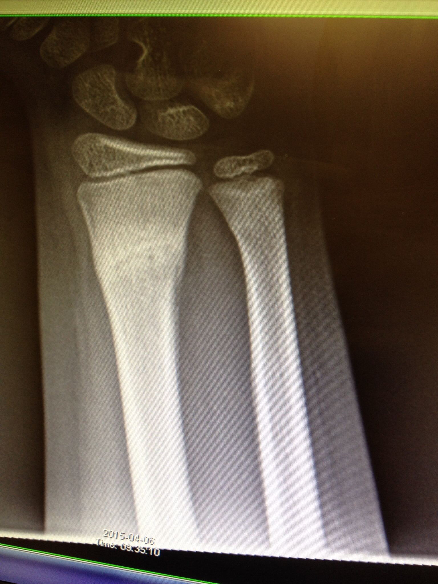
Gissa om hon blev glad när sjukskötaren kom in med den speciella lilla sågen som skulle avlägsna detta hårda gips, som ju egenligen inte är gips längre, utan gjort av glasfiber. Han sågade försiktigt upp på båda sidorna av gipset och tog sedan en tång och bröt upp det. Lillasyster såg på sin arm, som var styv och huden var en aning torr efter tre veckors vistelse under täcke, men märkvärdigare än så var det inte. Hon vände försiktigt på armen och det gick bra. Sjukskötaren tog med henne till röntgen för att ta en ny bild av armen hennes. Så här såg den ut:
Den vitare delen är det nya benbildningen och armen hennes har allså läkts väldigt fint och precis som väntat. Läkaren menade att inga extra åtgärder behövdes. Ta det lilla lugnet på rasten i skolan ännu den här veckan, men inkommande lördag får Lillasyster börja med gymanstik igen, precis som som hon gjorde innan fallet då hon bröt armen.
Lillasyster var överlycklig när jag skjutsade henen till skolan efter detta läkarbesök. Slutet gott, allting gott! 🙂

9 svar till ”As good as new….”
Vad roligt att blev bra till slut!
GillaGilla
Javisst är det!
GillaGilla
Härligt att allt gick bra. 🙂
Ha en skön tisdag!
GillaGilla
Javisst!
GillaGillad av 1 person
Vad roligt! Allt blir så mycket enklare med en ”fri” arm.
GillaGilla
Ja verkligen!
GillaGilla
Vad härligt! Tänk vad kroppen kan.
GillaGillad av 1 person
När vi sökte nytt hus för fem år sedan hade barnen önskat att få ha pool på tomten. Dock bestämde vi oss för att INTE köpa en sådan lyx, eftersom det är mycket underhåll med dessa pooler. Dock har vi tillgång till tre pooler i vårt bostadsområde och det är en fin kompromiss!
GillaGilla
Ja, jag tycker också det är fascinerande att kroppen helt läker sig själv så länge benet hååls på plats med ett gips. Verkligen intressant!
GillaGilla